¿Qué es el Neuroma de Morton?
Es una enfermedad de la región anterior del pie. El neuroma es un tumor benigno (no cancerígeno) que surge por irritación de los nervios interdigitales del pie, en la que notaremos dolor en la planta del pie, entumecimiento u hormigueo.

¿Por qué se produce el neuroma de morton?
Causas del neuroma de morton:
- Tipo de pie: suele ser más frecuente en pies con un arco interno muy pronunciado, por sobrecarga en la cabeza de los metatarsianos (Pies cavos).
- Calzado: un tacón alto, al igual que un calzado estrecho producen compresión entre los huesos metatarsianos, haciendo que el nervio se irrite y se pueda generar el neuroma.
- Actividad física: largos tiempos de la marcha, saltos sobre la zona anterior del pie, carreras de largas distancia como maratón, bipedestación prolongada, etc.

Síntomas del neuroma de morton
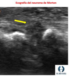
El neuroma de morton puede confundirse con una metatarsalgia por otra causa. La consulta con un traumatólogo puede ayudar a saber si el dolor es causado por un neuroma de morton. Lo habitual es realizar una exploración física. El neuroma de morton suele acompañarse de entumecimiento o sensaciones de calambre y hormigueos en el 3er y 4to dedos del pie. Además, hay pruebas como la ecografía o la resonancia magnética que nos darán ayuda al diagnóstico. El estudio de la pisada puede ayudar a diferenciar una causa de otra.

Tratamiento del Neuroma de Morton
- Plantillas: En una primera etapa recurrimos a descargar la región plantar del pie, para ello nos ayudaremos de una modificación de las actividades que provocan la lesión y de plantillas, además se pueden indicar ejercicios y masajes en la zona.
- Infiltraciones: Las infiltraciones pueden estar indicadas para ayudar a disminuir el dolor. Es muy efectivo realizar las infiltraciones bajo control ecográfico para dirigir el fármaco exactamente a la zona de irritación. Por lo general se suele emplear corticoides
Pinche aquí para saber más sobre infiltraciones
- Fisioterapia: La fisioterapia en el neuroma de morton puede ser recomendable cuando el neuroma se asocia a otras patologías o a problemas musculares que alteren la biomecánica del pie.
Cirugía del neuroma de morton
Si el tratamiento no quirúrgico no ha dado resultado, el traumatólogo puede recomendar la operación del neuroma de morton. Esta cirugía tiene varias modalidades, con buenos resultados:
- Cirugía abierta: Es la cirugía convencional, se puede realizar tanto por el dorso del pie como por la planta. Su objetivo es descomprimir el nervio y resecar el neuroma.

- Cirugía mini-invasiva ecoguiada: es una cirugía que se realiza con una incisión muy pequeña, generalmente se indica cuando buscamos descomprimir el nervio sin quitar la tumoración, es decir, retirar la causa que provoca la irritación del nervio. La ventaja de esta cirugía es que se realiza con una incisión de menos de 1 cm bajo control ecográfico, con lo que se disminuye el riesgo de lesión de otras estructuras.
Recuperación postquirúrgica
Es una intervención que suele evolucionar bastante bien y consigue el alivio del dolor. La recuperación es rápida, pudiendo dormir ese día en casa y deambulando desde el principio con muletas. La reincorporación a actividades intensas (trabajos físicos/deporte) suele demorarse tres o cuatro semanas.
Protocolo de rehabilitación neuroma de morton (pinche aquí)

