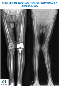
Prótesis de rodilla


¿En qué consiste una prótesis de rodilla?

La cirugía de prótesis de rodilla es una intervención que consiste en colocar un implante (prótesis) que sustituye a la articulación de la rodilla dañada. La causa más frecuente detrás de la necesidad de implantar una prótesis de rodilla es la artrosis de rodilla, es decir, el desgaste de la articulación por la edad y el uso diario. 

Pinche aquí para saber más de la artrosis de rodilla

Otros motivos que pueden provocar la necesidad de colocar una prótesis es una fractura en un paciente muy mayor, una lesión crónica de los ligamentos de la rodilla con daño articular o una osteonecrosis de la rodilla con afectación del cartílago articular. 

Pinche aquí para saber más sobre la patología del cartílago articular de la rodilla

Las prótesis de rodilla pueden ser prótesis total de rodilla: sustituyen a toda la articulación o prótesis unicompartimentales: prótesis parciales que solo sustituyen la mitad de la articulación

¿Cómo es la rodilla normal?

La articulación de la rodilla está formada por tres huesos: el fémur, la tibia y la rótula. La tibia se desplaza sobre el fémur cuando flexionamos y extendemos la rodilla, permitiendo la movilidad de la pierna. Además, dentro de la articulación de la rodilla encontramos la articulación femoropatelar donde la patela (rótula) se desplaza sobre el fémur, permitiendo que los músculos de la pierna tengan la potencia suficiente para extender la rodilla. 

Es importante destacar que la articulación de la rodilla es muy dependiente de los ligamentos, por lo que en ocasiones puede estar recomendado emplear prótesis especiales que sustituyan la función de los ligamentos dañados. 

¿Cómo es una prótesis de rodilla?

La prótesis de rodilla que más se emplean se contienen de 3 a 4 componentes fundamentales, que sustituirán la superficie articular de la tibia, el fémur y la rótula. La parte que sustituye al fémur es llamada escudo femoral, mientras que la tibia es sustituida por el platillo tibial o bandeja tibial. Ambos componentes son de aleaciones metálicas que varían según la marca, pero suelen incluir cromo-cobalto, titanio y entre otros. Entre ambos componentes se coloca un inserto de polietileno que evita que ambas superficies metálicas choquen entre sí. En los casos donde sustituimos también la rótula, colocamos una cuarta pieza: el botón rotuliano de polietileno. Existen prótesis con aleaciones hipoalergénicas indicadas en aquellos pacientes con alergia a metales.

Tipos de prótesis de rodilla

Las prótesis de rodilla pueden clasificarse en función del grado de constricción, esto quiere decir que las clasificamos en función de los ligamentos que se sustituyen. Las menos constreñidas necesitaran mayor función de los ligamentos originales de la persona.

A nivel general tenemos 3 tipos:

No constreñidas: necesitan que los ligamentos colaterales funcionen. Pueden emplearse en casos con lesión de los ligamentos cruzados

Semiconstreñidas: Aquellas que pueden sustituir parcialmente a los ligamentos colaterales

Constreñidas: Las denominamos bisagras, y se emplean en casos de lesiones ligamentosas severas o cuando existen fracturas complejas que no pueden reconstruirse.

También podemos clasificarlas según cómo se fijen al hueso. 

Prótesis cementadas: Son aquellas que deben emplear un cemento que las ancle al hueso. En el caso de la prótesis de rodilla son ampliamente utilizadas tanto en pacientes con buena como con mala calidad ósea.

Prótesis biológicas (press-fit): Son prótesis que en un primer momento se agarran mediante presión, y que presentan un material provoca que el hueso del paciente pueda “crecer” hacia adentro de la prótesis, integrándola en el propio cuerpo. Solo pueden colocarse en pacientes donde garanticemos un hueso de calidad. El problema de estas prótesis es que se pueden provocar fracturas óseas con mayor frecuencia al implantarlas.

¿Cuándo puede ser recomendable intervenirse de una prótesis de rodilla?

Cuando existe artrosis de rodilla, no siempre que haya artrosis la solución es poner una prótesis. Al igual que en la artrosis de cadera, la indicación ideal es cuando el dolor que padece el paciente impide realizar una vida normal, sin que se pueda controlar por otros medios como infiltraciones o fisioterapia. 

Pinche aquí para ver ejercicios para la rodilla

Pinche aquí para saber más sobre infiltraciones

Lo habitual es que el traumatólogo indique realizar radiografías de la rodilla para valorar el grado de artrosis, lo que junto a lo que nos cuenta el paciente y la exploración física determinan la indicación de la prótesis. En ocasiones una resonancia magnética también puede darnos datos sobre el estado del cartílago de la rodilla.

¿Cuánto dura una prótesis de rodilla?

Ha día de hoy, una prótesis de cadera correctamente implantada puede llegar a durar toda la vida de una persona, aunque obviamente esto dependerá de a qué edad se implante la prótesis. Los nuevos materiales como los polietilenos altamente entrecruzados han conseguido que el desgaste de las prótesis de sea mucho menor que hace años, por lo que podemos tener una prótesis que aguante fácilmente 20 o 30 años sin problemas. 

¿Cómo es la cirugía de prótesis de rodilla?

La cirugía de prótesis de cadera es un procedimiento estandarizado, que se realiza siguiendo pasos muy concretos. La cirugía suele hacerse bajo anestesia general o raquídea (parecida a la epidural), y la intervención completa dura entre 1 y 2 horas.  La prótesis se coloca con un abordaje anterior, es decir a través de una incisión delante de la rodilla. Tras retirar el tejido articular dañado mediante unos cortes en el hueso, se colocan los implantes de prueba y comprobamos la movilidad y la estabilidad de la nueva rodilla. Si estamos conformes con las pruebas pasamos a colocar los implantes definitivos. Gracias al avance en la técnica quirúrgica y los nuevos instrumentales, el sangrado intraoperatorio cada vez es menor por lo que es raro necesitar una transfusión sanguínea.

Recuperación tras la operación de prótesis de rodilla

Tras una cirugía de prótesis de rodilla, los primeros días cambiamos un dolor por otro. Esto quiere decir que eliminamos desde el principio el dolor mecánico, pero aparecerá el dolor postoperatorio. A partir los primeros días el dolor deja de ser intenso, disminuyendo progresivamente durante las 4-8 semanas postoperatorias, donde ya quedara una molestia residual que va mejorando progresivamente. 

Desde el día siguiente se puede comenzar a mover la rodilla operada y a dar algunos pasos ayudados de unas muletas. La duración del ingreso suele ser de 2 o 3 días, tras lo cual nos iremos a casa. Las suturas se suelen retirar en las 2-3 primeras semanas. Las muletas se mantienen entre 4 y 8 semanas, tras lo cual se suelen abandonar. La reincorporación al trabajo puede ser a partir del 3er o 4to mes. La rehabilitación de la prótesis de rodilla es obligatoria, y puede hacerse siguiendo un programa de ejercicios o acudiendo al fisioterapeuta. Es obligatorio caminar e ir recuperando las actividades cotidianas de forma progresiva.

Protocolo de recuperación tras la cirugía de rodilla (pinche aquí)

Comments are disabled.