Fractura de espinas tibiales


¿Qué es la fractura de espinas tibiales?

La fractura de las espinas tibiales es una lesión poco frecuente en la rodilla que consiste en la rotura de la zona donde se anclan el ligamento cruzado anterior y los meniscos a la tibia. Se presenta principalmente en niños y adolescentes que aún tienen zonas de crecimiento óseo. Este tipo de fractura suele ocurrir tras traumatismos relacionados con actividades deportivas.

     

 

¿Para que sirven las espinas tibiales?

Las espinas tibiales son salientes óseos situadas en la tibia. Existen dos espinas tibiales: la espina interna o medial, donde se inserta (se ancla) el ligamento cruzado anterior y la raíz anterior del menisco externo a la tibia, y la espina tibial externa o lateral, donde se inserta el menisco externo en su raíz posterior. La función de las espinas es estabilizar a los meniscos y ligamentos en la rodilla.

En las personas jóvenes, la lesión de las espinas tibiales equivale a las lesiones de los ligamentos de la rodilla. Esto se produce porque la zona de las espinas tibiales está aún en crecimiento, siendo una zona de debilidad donde se producen fracturas con facilidad. En adultos, las espinas tibiales ya están completamente fusionadas, por lo que un traumatismo similar generalmente causa una rotura del ligamento cruzado anterior.

Síntomas y diagnóstico de la fractura de las espinas tibiales

Después del traumatismo, el paciente experimenta un dolor intenso, y generalmente no puede caminar. Además, la rodilla suele hincharse debido al sangrado originado por la fractura.

   

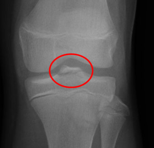
El diagnóstico de esta fractura se realiza mediante una radiografía de rodilla. Sin embargo, si la fractura es poco desplazada, puede no ser identificada en una primera evaluación, por lo que puede ser recomendable realizar un TAC o una resonancia de la rodilla. 

Tratamiento de la fractura de las espinas tibiales

El tratamiento de la fractura depende de varios factores, como el tipo de fractura y la edad del paciente. En general, las fracturas desplazadas necesitarán cirugía para colocar las espinas de nuevo en su sitio y estabilizar la fractura. Las fracturas no desplazadas pueden tratarse sin cirugía, inmovilizando la rodilla y siguiendo un programa de recuperación posterior.

Tratamiento sin cirugía de la fractura de las espinas tibiales

El tratamiento conservador incluye la inmovilización de la rodilla en extensión, utilizando un yeso o una ortesis durante unas 4 semanas, con carga parcial permitida utilizando muletas. Es habitual posteriormente realizar ejercicios de movilidad y fisioterapia para recuperar la movilidad de la rodilla. Durante el seguimiento será necesario realizar radiografías de control para ver que las espinas no se han desplazado. La recuperación para andar de forma normal sin muletas es de unos dos meses y para hacer deporte de forma intensa unos 4 meses.

Tratamiento con cirugía de la fractura de las espinas tibiales

Actualmente el tratamiento más aceptado mediante cirugía se realiza mediante artroscopia de rodilla.

Pinche aquí para saber más sobre la artroscopia de rodilla

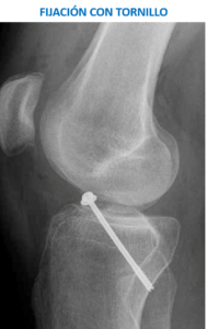
La cirugía suele realizarse con anestesia raquídea (de cintura para abajo) y consiste en limpiar de hematoma la zona de la fractura, colocar de nuevo los fragmentos óseos en su sitio y posteriormente fijarlos con algún dispositivo como suturas especiales, tornillos, etc., que pueden variar dependiendo de las características de la fractura. Ocasionalmente, en casos que la fractura implique un fragmento grande de hueso, se puede necesitar una apertura parcial de la rodilla y colocar un tornillo para fijar la fractura.

En casos donde la fractura no consolida correctamente, la consecuencia puede ser que aparezca una inestabilidad en la rodilla debido a la insuficiencia del ligamento cruzado anterior. Si la inestabilidad es significativa, se puede considerar la reconstrucción del ligamento cruzado anterior mediante una ligamentoplastia.

Pinche aquí para saber más sobre reconstrucción del ligamento cruzado anterior.

Recuperación tras la cirugía de fractura de espinas tibiales

Los resultados de la intervención suelen lograr recuperaciones prácticamente completas de la función de la rodilla en la mayor parte de los casos. El proceso de recuperación suele seguir varios pasos. De forma resumida, durante los dos primeros meses intentaremos que el paciente recupere la movilidad completa de la rodilla mientras la fractura suelda en la posición correcta. Se puede comenzar a pisar desde el inicio con ayuda de dos muletas. A partir de las primeras 4 a 8 semanas tras la intervención abandonaremos las muletas y comenzaremos a realizar ejercicios de potenciación muscular. Es recomendable retrasar la vuelta a deportes de impacto alrededor de cuatro meses tras la cirugía.

 

 

 

Comments are disabled.