¿Qué es el esguince de muñeca?
El esguince de muñeca (muñeca abierta) es la lesión de los ligamentos de la muñeca. Los ligamentos son unas estructuras fibrosas (similares a cuerdas) que sirven para sujetar las articulaciones y los huesos, favoreciendo que se estabilicen. En el caso de la muñeca, al sufrir una caída, un giro brusco o un mal gesto, los ligamentos pueden estirarse más de lo que son capaces de soportar, produciéndose la lesión que puede ser parcial o completa. 
Tipos de esguinces de muñeca
Según el grado de afectación del ligamento en el momento agudo, existen tres grados de esguinces de menor a mayor gravedad:
- Grado I: Esguince leve. El ligamento ha sufrido una afectación pequeña con distensión (elongación) de sus fibras y leve inflamación.
- Grado II: Esguince moderado: Es una rotura parcial del ligamento. La inflamación es mayor y puede aparecer hematoma.
- Grado III. Esguince grave: Equivale a una rotura completa del ligamento. El dolor y la inflamación serán mayores, y se provoca una inestabilidad importante.
Además de estos tipos también existe el esguince crónico, donde un esguince mal curado puede ser la causa de dolor o inestabilidad.
Causas del esguince de muñeca
- caídas
- golpes
- movimientos bruscos
- malos gestos
- sobrecarga por realización de movimientos repetitivos, por ejemplo en trabajadores manuales (operarios, carpinteros, etc) y deportistas (tenis, padel, golf, etc).
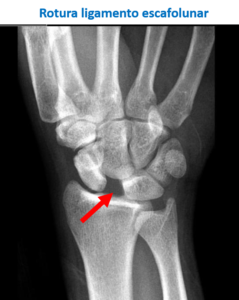
Existen varios ligamentos en la muñeca que pueden lesionarse. El que lo hace de una manera más frecuente es el ligamento escafolunar, que une el escafoides con el semilunar.

¿Cómo se si tengo un esguince de muñeca? Síntomas del esguince de muñeca
Los síntomas fundamentales del esguince de muñeca pueden ser variables, aunque suelen aparecer algunos de los siguientes:
- inflamación
- dolor con la movilidad o giros de muñeca
- hematoma
- pérdida de movilidad y fuerza
- chasquidos y sensación de inestabilidad
Diagnóstico y Tratamiento del esguince de muñeca
La parte fundamental del diagnostico es la exploración física en la consulta de traumatología, con lo que generalmente se llega al diagnóstico. En ocasiones el empleo de radiografías, ecografías o resonancia magnética puede estar indicado.
Por lo general el esguince de muñeca no precisará tratamiento quirúrgico. Aunque las medidas que se emplean en su tratamiento son sencillas, el tiempo de curación completa puede llegar a ser de hasta 3 meses.

Tratamiento sin cirugía del esguince de muñeca
- Reposo funcional: Evitar movimientos desencadenantes que provoquen dolor y actividades que puedan empeorar la lesión como cargar pesos o giros con la mano.
- Inmovilización de la muñeca: Habitualmente emplearemos férulas de yeso o muñequeras para limitar la movilidad en el periodo inicial. Posteriormente podremos ir retirándola de forma progresiva para establecer un programa de movilidad asistida con el fisioterapeuta.
- Antiinflamatorios
- Aplicación de frío intermitente
- Fisioterapia: Es fundamental para volver a recuperar la movilidad y la función adecuada de la muñeca.
Tratamiento con cirugía del esguince de muñeca
Raramente, en algunos esguinces grado III, estará indicado realizar una cirugía para colocar en posición adecuada los huesos y estabilizarlos temporalmente hasta que los ligamentos cicatricen. Esto sucede por ejemplo en algunas luxaciones del hueso semilunar o lesiones del ligamento escafolunar.
Las lesiones crónicas suelen requerir tratamiento mediante cirugía de forma más frecuente, sobre todo cuando son muy sintomáticas.
Tiempo de curación del esguince de muñeca
Como hemos comentado previamente, el tiempo de recuperación es variable pudiendo ir de 2 semanas en los casos leves a 4-6 semanas en casos moderados e incluso hasta 3 meses en los casos más graves. Este tiempo puede variar en aquellos esguinces que requieran reparación quirúrgica.
Puede ser recomendable emplear muñequeras o vendajes funcionales tras una lesión de estos ligamentos. Esto se indicará según los síntomas y la actividad que realicemos.


