¿Qué es la artrosis de tobillo?
La artrosis de tobillo es una enfermedad caracterizada por el desgaste o deterioro de la articulación del tobillo. Similar a otras formas de artrosis, implica la pérdida de cartílago articular, la aparición de osteofitos (crecimientos óseos anormales) y deformidades en la articulación. En muchos casos, tiene un origen genético (artrosis primaria), desarrollándose gradualmente con el tiempo. Sin embargo, en el tobillo es común que surja como consecuencia de lesiones previas, como fracturas o esguinces repetitivos. También es habitual en deportistas, especialmente en fútbol o baile, debido a pinzamientos o microtraumatismos causados por su actividad.
¿Cuáles son los síntomas de la artrosis de tobillo?
Inicialmente, los síntomas pueden confundirse con molestias residuales de una lesión previa. Puede parecer que la recuperación de un esguince o fractura avanza, pero luego el dolor regresa y empeora. Con el tiempo, aparece dolor en la parte frontal del tobillo, pérdida de movilidad y cojera al caminar. El dolor se agrava al recorrer largas distancias o en superficies irregulares. A largo plazo, el tobillo tiende a desviarse hacia dentro, acelerando el avance de la artrosis.
Diagnóstico de la artrosis de tobillo
En casos avanzados, una radiografía con carga de la pierna permite confirmar la presencia de artrosis y evaluar desviaciones en el tobillo. En etapas iniciales, la resonancia magnética es clave para detectar daños en el cartílago, especialmente en la cúpula del astrágalo. Un diagnóstico y tratamiento tempranos son esenciales para prevenir las graves consecuencias de un deterioro cartilaginoso no detectado.
Tratamiento de la artrosis de tobillo
Tratamiento sin cirugía de la artrosis de tobillo
En las etapas iniciales de la artrosis, las medidas conservadoras pueden ser efectivas para frenar su progresión o aliviar los síntomas.
- Modificación de la actividad:
Es fundamental reducir el impacto repetitivo sobre el tobillo, como el que se produce al correr. Por ello, se aconseja evitar deportes que impliquen saltos, giros o impactos intensos. - Ejercicio de bajo impacto y fortalecimiento muscular:
Actividades como el uso de bicicleta estática o elíptica, combinadas con ejercicios de fortalecimiento muscular, ayudan a disminuir la carga sobre la articulación. Además, favorecen la pérdida de peso, lo cual reduce aún más el estrés sobre el tobillo. - Infiltraciones:
La aplicación intraarticular de ácido hialurónico mejora la lubricación y el entorno de la articulación, aliviando el dolor durante un periodo que suele oscilar entre 6 y 8 meses. Por otro lado, las infiltraciones con factores de crecimiento derivados de plaquetas también pueden ofrecer un alivio temporal de los síntomas. Aunque estas terapias no revierten los daños artrósicos, podrían contribuir a ralentizar su avance.
Tratamiento quirúrgico de la artrosis de tobillo
La cirugía se considera en aquellos casos en los que los tratamientos conservadores no han sido efectivos o cuando existen lesiones que pueden beneficiarse de una intervención.
Artroscopia de tobillo
Esta técnica mínimamente invasiva está indicada en fases menos avanzadas de la artrosis. Consiste en eliminar osteofitos que limitan el movimiento, limpiar tejido sinovial inflamado y retirar cuerpos libres que pueden causar dolor o bloqueos articulares. Se realiza de forma ambulatoria, sin necesidad de hospitalización, y permite una recuperación rápida. Además de aliviar el dolor, esta cirugía puede retrasar la necesidad de intervenciones más agresivas como la prótesis de tobillo o la artrodesis.
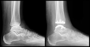
Fijación del Tobillo: Artrodesis
La artrodesis de tobillo continua siendo la mejor opción para el tratamiento de la artrosis de tobillo avanzada que no responde al tratamiento conservador. Es especialmente útil en pacientes jóvenes, con mucha vida por delante en los que la implantación de una prótesis no sea recomendable o en aquellas personas con enfermedades que puedan comprometer la implantación de la prótesis.
Esta cirugía consiste en fusionar la articulación del tobillo dejándola fija pero sin dolor. Aunque el resultado de esta técnica pueda parecer muy limitante, los pacientes pueden caminar sin dolor tras la recuperación, aunque habrá que emplear calzado tipo balancín u otro tipo de ortesis para caminar de una forma más ergonómica.
Lo ideal es realizar la cirugía antes de que aparezcan deformidades, con el objetivo de evitar la necesidad de realizar procedimientos más complejos sobre el pie. Como hemos comentado, la artrodesis obtiene un alivio importante del dolor, aunque se pierde la flexoextensión del tobillo.
Prótesis de Tobillo
En pacientes de mayor edad con artrosis severa y sin deformidad, la prótesis total de tobillo puede ser una alternativa válida. Aunque las primeras prótesis implantadas mostraron resultados deficientes, las mejoras en los diseños actuales están ofreciendo resultados prometedores. La duración de la intervención, el tipo de complicaciones y los tiempos de recuperación actualmente son muy similares a los de la prótesis de rodilla. Sin embargo respecto a la artrodesis, la prótesis de tobillo, puede ofrecer una mejor movilidad, pero presenta un mayor riesgo de aflojamiento, movilización o desgaste de sus componentes a largo plazo y con actividad física intensa. La decisión entre artrodesis y prótesis debe tomarla el paciente tras recibir información completa y clara por parte del cirujano.





