¿Qué es el juanete (o Hallux Valgus)?
El hallux valgus o juanete, es la desviación del dedo gordo del pie hacia la parte externa. Es la deformidad más frecuente del pie que motiva consultas en traumatología.

¿Por que se produce el Juanete?
- El calzado que usamos: Producen un efecto negativo los zapatos de punta estrecha y de tacón elevado, ya que van desplazando al dedo a una posición anormal que con el tiempo se mantiene.
- Tipo de pie: El pie egipcio (dedo gordo más largo) junto a un primer metatarsiano de poca longitud se han asociado al desarrollo de hallux valgus. Este tipo de pie favorece que se desplace el dedo hacia “afuera”.
- Factores hormonales: Ciertas hormonas como la relaxina (más frecuente en mujeres) hacen que el desarrollo de esta condición se vuelva más probable. Estas hormonas provocan que los tejidos blandos de la articulación (ligamentos, capsula articular, etc) sean más débiles a la hora de luchar contra las fuerzas que desplazan al dedo, habitualmente hay una mayor concentración de esta hormona en las mujeres, lo que sumado al calzado de tacón y punta estrecha favorecen que el juanete sea una enfermedad más frecuente en ellas.
- Genética: Es frecuente que dentro de una familia la predisposición a esta enfermedad se herede.
Síntomas del juanete
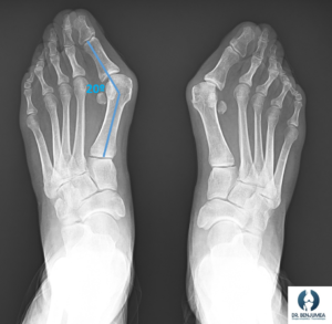
Existen varios síntomas relacionados con la aparición del juanete. Lo más habitual es que se inicie la deformidad del dedo gordo, desplazándose la parte más distal (falange) hacia afuera. Esto provoca que el pie pierda su forma estética. Conforme el dedo se desvía, su parte más interna comienza a doler al rozar con el zapato y se genera un sobrecrecimiento óseo en la parte más interna de la cabeza del metatarsiano que conocemos como bunion.

Al desviarse el primer dedo, se provoca un cuadro conocido como insuficiencia del primer radio. Esto significa que el primer dedo que es el más potente deja de contribuir a soportar el peso durante la pisada, por lo que se sobrecargan los otros dedos apareciendo la metatarsalgia.
Pinche aquí para saber más sobre metatarsalgia
Además, al desviarse el dedo gordo, el resto de los dedos pueden comenzar a sufrir por el roce e incluso a deformarse (dedos en garra), lo que contribuye al empeoramiento del cuadro.
Cuando la deformidad está establecida, el único tratamiento posible que corrige de forma definitiva el problema es la cirugía. Hoy en día tenemos la certeza de que los separadores (los de silicona por ejemplo) poco útiles a la hora de corregir la deformidad.
Para planificar la cirugía es necesario realizar unas radiografías de ambos pies en carga donde podamos valorar cómo se comporta realmente el pie cuando este soporta nuestro peso. Estas radiografías nos indicarán qué tipo de correcciones debemos realizar y si puede estar indicada una técnica y otra.

Tratamiento del juanete
Como hemos señalado previamente, la solución definitiva a un problema de juanete es la cirugía, que nos permite actuar tanto sobre la deformidad ósea como sobre las partes blandas que mantienen la deformidad para volver a tener un pie anatómicamente corregido y biomecánicamente funcional.
Es habitual actuar tanto sobre el juanete cómo sobre los metatarsianos, ya que como se ha explicado antes, la aparición del hallux valgus conlleva en muchas ocasiones una alteración en la distribución del peso en el pie generando metatarsalgia, lo que recomienda realizar correcciones en el resto del antepié. El objetivo de la cirugía será por lo tanto corregir la deformidad, mejorar la biomecánica y eliminar el dolor.
Nunca debe intervenirse un juanete no doloroso donde el único problema sea estético. Esta frase, aunque pueda resultar difícil de asimilar tiene su razón de ser. Un juanete “feo” pero no doloroso implica que la biomecánica del pie sigue funcionando adecuadamente pese a la deformidad. Alterar ese funcionamiento que no causa dolor puede provocar tras la cirugía una alteración biomecánica que cause dolor.
¿En qué consiste la cirugía del Juanete?
Fundamentalmente en corregir las alteraciones de la anatomía que están provocando la deformidad y las alteraciones en la mecánica del pie. Habitualmente la cirugía se realiza empleando tres «maniobras» en la misma operación: Quitar el bulto lateral que genera dolor (bunion), actuar sobre los ligamentos y tendones que se encuentran alterados, y realizar cortes en el hueso para realinear el dedo.

Existen múltiples técnicas correctoras de la deformidad. A nivel general encontramos dos tipos de procedimientos, aquellos que consisten en cirugía abierta y otros que se realizan de forma percutánea (cirugía láser del pie). Cada técnica aporta unas ventajas y unas desventajas. Lo ideal es ofrecer a cada paciente la técnica que más le convenga en cada caso.
- Cirugía abierta: Dentro de la cirugía abierta existen muchísimas técnicas que pueden emplearse. La ventaja principal es que la corrección anatómica y radiográfica suele ser superior a la otra técnica, logrando una corrección exacta. La principal desventaja es que, al ser una técnica abierta, aumenta el daño a la piel y el tejido blando, aumentando el riesgo de infección, de problemas con la piel y la rigidez postoperatoria.

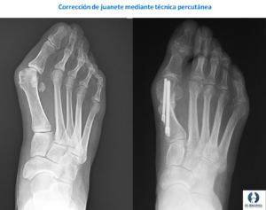
- Cirugía percutánea (láser): Es una técnica que se realiza a través de pequeñas incisiones, respetando en mayor medida toda la vascularización del hueso y los tejidos blandos. La cirugía se guía a través de rayos X o de control ecográfico (Debajo os dejo un artículo que publicamos describiendo la técnica guiada por ecografía para la corrección de metatarsalgias). Realizar una cirugía percutánea permite una cicatrización más rápida y un menor riesgo de infección, lo cual es interesante en pacientes mayores, o con enfermedades que pueden causarnos problemas, como problemas de insuficiencia venosa o diabetes.

¿Puede volver a salir un juanete tras la cirugía?
Aunque el porcentaje de recaídas es bajo, la respuesta es que sí. Los dos factores que más interfieren en una recaída es una falta de corrección en una cirugía previa, o la vuelta al empleo de calzado poco adecuado. Es posible reintervenir el juanete de nuevo, aunque puede aumentar el riesgo de lesiones en la piel, infecciones, etc.
Recuperación tras la cirugía de juanete
Debido a que cada vez se realizan técnicas más avanzadas tanto desde el punto de vista quirúrgico como anestésico, es habitual que un paciente intervenido de juanete salga andando del hospital el mismo día de la intervención. Por lo general el dolor más agudo dura unos días, tras lo cual comienza a mejorar. Es vital tanto emplear antiinflamatorios como frio local los primeros días tras la cirugía, así como andar apoyando con un zapato postquirúrgico. La recuperación laboral se sitúa entorno a los dos meses (aunque dependerá del tipo de trabajo) y la deportiva al menos a los 3-4 meses de la intervención.
Pinche aquí para ver el protocolo de recuperación tras la cirugía de hallux valgus.

