Cómo son las deformidades de las piernas
Dentro de las deformidades angulares de los miembros inferiores, las dos más frecuentes conocidas como genu varo y genu valgo, son alteraciones al mirar las piernas de frente donde vemos las piernas torcidas.
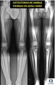
Genu Varo: Hace referencia a cuando las piernas están arqueadas, es decir, las rodillas se separan una de la otra. La pierna tiene forma de C o de paréntesis.
Genu Valgo: Es lo contrario, las piernas se cruzan como si las rodillas fueran a tocarse, son las piernas en forma de X.
Ambas condiciones pueden conllevar problemas en la función y la calidad de vida del paciente. La detección y el tratamiento oportunos son esenciales para prevenir complicaciones a largo plazo.
Qué pasa si tengo las piernas desalineadas
La correcta alineación del miembro inferior (piernas) es muy importante para la distribución normal del peso corporal cuando andamos, corremos etc. Cualquier alteración en esta alineación, como el genu varo o el genu valgo, puede causar una sobrecarga anormal en zonas de la rodilla, provocando dolor y problemas articulares que a la larga llevan a la degeneración de la articulación (artrosis).
Cuando padecemos de genu varo, la mitad interna de la rodilla trabajará con una carga mayor de lo que le corresponde, y con el genu valgo será la mitad externa. Esto significa que día a día durante toda la vida, una zona de la rodilla está trabajando más de lo que le corresponde, lo que puede llevar a una sobrecarga de esta zona. Con el tiempo, puede aparecer dolor por sobrecarga, típicamente cuando realizamos impacto sobre la rodilla (andar, correr, etc).
El problema más importante surge cuando el cartílago articular de esa zona de la rodilla se desgasta por ese sobreuso. Un desgaste acelerado del cartílago inicial provocará un aumento aun mayor de la carga en ese compartimento, estableciendose un circulo vicioso donde ese desgaste avanza con el tiempo y finalmente se establezca una artrosis de rodilla. Junto al cartílago, también pueden aparecer lesiones en los meniscos por sobrecarga.
Además de afectar a la rodilla, la alteración de alineación en las piernas puede provocar que caminemos con dificultad y que suframos tropiezos, problemas en los tobillos, caderas e incluso en la columna lumbar.
Para valorar adecuadamente estas deformidades, los traumatólogos realizamos un tipo especial de radiografía llamada telerradiografía.
Causas de las deformidades
Hay que tener en cuenta que es normal tener genu varo o valgo durante el desarrollo desde que nacemos hasta la vida adulta. Los niños pequeños tienen genu varo hasta los 2-3 años aproximadamente, lo cual es completamente normal. Posteriormente, con el crecimiento, tendrán un genu valgo, que también es normal hasta los 7-8 años aproximadamente.
También es normal en muchas personas puedan tener una deformidad leve cuando son adultas y esta no suponga ningún tipo de problema, por lo que no hay que realizar ningún tratamiento específico.
La persistencia de estas deformidades, sobre todo si causan síntomas, fuera del periodo normal de desarrollo, puede indicar que exista una enfermedad que las esté provocando. A nivel general las deformidades pueden ser de causa:
Genética: Son aquellas deformidades que suelen verse en varios miembros de una familia. Aparecen por una herencia genética y no por una enfermedad concreta.
Alteraciones del crecimiento: son secuelas de una enfermedad en la infancia que ha llegado hasta nuestros días
Fracturas o lesiones intraarticulares: Existen deformidades que surgen tras lesiones como roturas de menisco, fracturas del hueso, etc. que provocan deformidad
Degenerativas: La artrosis puede provocar un agravamiento de una deformidad previa.
Tratamiento de las deformidades angulares en adultos
El tratamiento conservador incluye el uso de ejercicios de potenciación, modificaciones en las actividades físicas para aliviar los síntomas y mejorar la alineación, e incluso en realizar infiltraciones para el dolor articular. Aunque se consiga controlar el dolor, estos tratamientos no corregirán la alineación de las piernas.
Pinche aquí para ver ejercicios de las rodillas
Pinche aquí para saber más sobre infiltraciones
Tratamiento quirúrgico. Cirugía para corregir la deformidad.
En casos severos o cuando el tratamiento conservador no es efectivo, puede ser necesaria la cirugía. Las técnicas quirúrgicas suelen incluir osteotomías de corrección, lo que quiere decir realizar un corte en el hueso para corregir la desalineación, actuando sobre la zona donde se encuentra la deformidad y colocando el hueso derecho. Para que se mantenga inicialmente esta corrección nos ayudaremos de dispositivos como placas, fijadores externos o clavos, que “sujetaran” el hueso hasta que este suelde.
Además, aplicaremos en ocasiones injertos de hueso, sustitutos óseos y células madre mesenquimales para ayudar en el proceso de cicatrización. La decisión de realizar una cirugía depende de varios factores, incluidos la edad del paciente, el grado de deformidad y la presencia de síntomas significativos.
La cirugía logra la corrección y consolidación ósea en la mayor parte de los casos, aunque hay que saber que el tiempo de recuperación completa es de varios meses. Sin embargo, en pacientes jóvenes es una opción adecuada para evitar la prótesis o retrasar la implantación de esta durante muchos años.
En casos de deformidad en personas mayores que padecen ya una artrosis establecida, el tratamiento puede ser implantar una prótesis de rodilla directamente, con la que podemos corregir la deformidad o parte de ella y aliviar los síntomas.
Pinche aquí para saber más sobre prótesis de rodilla







